无需磨牙贴面治疗
什么是无需磨牙贴面治疗?

通常的贴面治疗是轻微磨除牙齿表面,然后粘贴上陶瓷薄片。
而无需磨牙贴面则是在完全不磨牙的情况下,也能改善牙齿的颜色和形状。
无需磨牙贴面治疗的优点

优点1:无需磨牙即可进行治疗
在无需磨牙贴面治疗中,无需磨除牙齿,也可以保留牙神经进行治疗。
这能够减少患者的负担,对于想接受美学治疗但对磨牙有顾虑的人来说也非常受欢迎。
优点2:可根据个人需求选择牙齿的白度
贴面的颜色可以根据您的需求,从自然白到亮白自由选择。
此外,对于通过美白治疗难以改善的中度以上四环素牙,也推荐使用这种治疗方法。
优点3:可以根据需求定制颜色和形状
我们医院采用了强度高、透明感佳且美观性优越的贴面材料。因此,颜色和形状可以根据需求精细调整,更精确地接近您理想的口腔外观。
此外,对于轻度的牙缝问题,使用无需磨牙的贴面也可以改善。
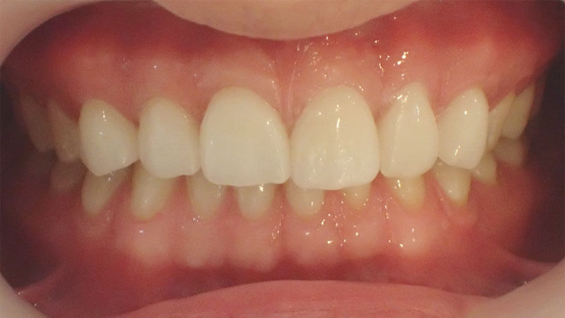
通过病例照片了解无需磨牙贴面治疗①

【治疗前】

【治疗后】

【治疗前】

【治疗后】
通过对上方的前牙6颗进行不削牙的贴面治疗,改善了患者所关注的前牙间隙和牙齿尖端部分的形状。
牙齿的形状和大小也进行了调整,使笑容看起来更加自然,达到了口腔外观的良好平衡。
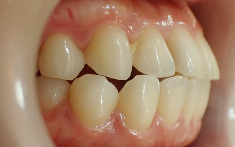
通过病例照片了解无需磨牙贴面治疗②

【治疗前】

【治疗后】

【治疗前】

【治疗后】
通过对上前六颗牙齿进行无需磨牙的贴面治疗,调整了牙齿的大小和比例,这是患者的病例照片。
此外,通过在上前牙进行贴面治疗,原本有点下颚突出的情况得到了改善。
通过选择比原来亮2个色调的颜色,笑起来时口腔的印象变得更加明亮。
无需磨牙贴面的适应症
- 想改善龈笑(露龈笑)
- 想改善四环素牙等变色牙
- 想改善轻微的牙缝(牙间隙)
- 想改善比正常小的牙齿(矮小牙)
- 想清理有变色填充物等的牙齿表面
- 想完全不磨牙进行治疗
- 想先进行简单的陶瓷治疗
无需磨牙贴面的非适应症
- 需要将突出的牙齿或龅牙等牙齿排列往内修正的病例
- 牙齿排列不齐的病例
- 咬合不正容易导致贴面脱落的病例
无需磨牙贴面治疗的流程
咨询与检查
在咨询中,我们会听取您的烦恼,并详细讨论适合的治疗方法。之后,如果决定进行治疗,我们会进行口腔检查。
取模

进行取模。在此过程中,您的牙齿完全不被磨除。
安装贴面

在确认完成的贴面后,我们会将其安装上。
我们医院对粘合剂也非常讲究,提供多种颜色选择。为了找到最适合的颜色,我们会进行试戴(试贴),然后决定使用的粘合剂。
贴面治疗的费用
无需磨牙贴面(全陶瓷材料):95,000日元
支付方式灵活多样

我们不仅支持各种信用卡分期支付,也灵活提供符合患者需求的支付方式。
本院所有的美容牙科治疗都支持通过银联卡、支付宝,微信和pay pay进行支付。
Copyright© whitewhite All Rights Reserved.
