四环素牙的成因以及治疗方式

什么是四环素牙
四环素牙是指在胎儿期或儿童期牙齿生长阶段摄入四环素类抗生素导致的牙齿变色。
感冒药中使用的四环素类抗生素也会导致四环素牙。
四环素牙的特征是牙齿呈灰色至褐色,并有特殊的条纹。
四环素牙的成因
四环素牙是由于四环素与牙本质中的钙元素结合造成的。
牙齿的表层是牙釉质,牙釉质包裹着牙本质。牙釉质通常是白色的,而内部的牙本质是淡黄色的。
当摄入四环素类抗生素时,原本淡黄色的四环素会与牙本质中的钙成分结合并沉积下来。
并在紫外线辐射下,逐渐使牙本质的颜色变深。
四环素牙的4阶段分类
四环素牙有从 “第一阶段 “到 “第四阶段”的四个分类。
F1(第一阶段)
- 浅黄色、棕色或灰色,整个牙齿均匀变色
 - 看不到条纹
 
F2(第二阶段)
- 牙齿颜色比第一级深,牙齿整体均匀变色
 - 看不到条纹
 
F3(第三阶段)
- 深灰色或蓝灰色
 - 可见条纹
 
F4(第四阶段)
- 整体深度变色
 - 条纹清晰可见
 
利用全瓷冠的四环素牙修复

全瓷冠治疗是一种磨削牙齿、必要时进行牙神经治疗,安装全瓷牙冠来改善四环素牙的治疗方法。
它不仅适用于从轻度到重度的所有四环素牙,同时还能在美观上改善牙齿的排列和大小。
此外,对微笑时可见的多颗牙齿进行全瓷冠治疗,还可以供患者选择从自然白到亮白的理想白度。
治疗四环素牙,若是上前牙,则通常涉及6到8颗牙齿的治疗;若是上下前牙,通常涉及12到20颗牙齿的治疗。
全瓷冠治也可以使牙齿背面美白。
由于牙齿和牙冠之间的粘合面积相对较大,因此在耐用性和强度方面也更胜一筹。
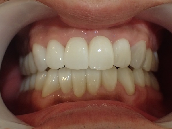
通过案例了解四环素牙的全瓷冠治疗
对上下可见范围内的牙齿进行了全瓷冠治疗

治疗前

治疗后
通过全瓷冠治疗,不仅使牙齿呈现具有透明感的白色,而且牙齿整体的排列也得到了改善。
全瓷冠治疗可以在短期内让牙齿的色泽连同整体排列一起得到有效的改善。
在治疗四环素牙的同时也矫正牙齿排列,会使您拥有一个更佳的面部印象。
此案例中,患者的四环素牙和变色的旧牙冠通过全瓷冠修复得到了明显改善

治疗前

治疗后
整体呈现了自然透明的白色。
此外,因选择了略微明亮的白色,使患者在微笑时给人留下明星般的美丽印象。
全瓷冠治疗的另一个特点便是,可以自由地为您的牙齿选择理想中的白色。
全瓷冠治疗流程
免费咨询

首先,我们通过微信(或者Zoom)提供详细的在线咨询。
我们将讨论您的治疗需求、费用,并配合您来日本的治疗日程,制定具体治疗计划。
我们将确保您在来院就诊到回国的期间内,所有的治疗都会顺利完成。
我们建议您预留两周左右的治疗时间。
取模和拍照

一旦确立治疗方案,我们将对您的口腔进行取模和拍照,以准确掌握口腔内部状态。
神经处理

作为全瓷冠治疗的准备阶段,我们将对牙齿内部的神经进行必要的处理。
搭建牙齿基台并调整牙齿排列
为了达到理想的牙齿排列,我们首先会在牙齿根部建立基台,并在此基础上放置临时假牙。
调整临时假牙

【假牙阶段】
我们将对临时假牙进行精细调整。
例如,如果您希望您的牙齿稍微向内或希望形状更方一些,我们会根据您的需求进行调整。
通过在临时假牙阶段的调整和模拟,我们可以精确制作符合您需求的全瓷冠。
安装全瓷冠

在临时假牙调整并检查完毕后,我们将制造最终安装的全瓷冠。
为您配好全瓷冠并进行咬合的调整后,全瓷冠治疗即告完成。
利用在线咨询提供短期集中矫正方案

我们为海外客户提供可以在短期内完成的矫正方案,最短可在两周左右完成全部治疗。
首先,我们会使用微信(或者zoom)制定治疗计划,确保在您实际到访后能够顺利地进行治疗。
我们将详细讨论具体的就诊次数、日程安排和预算等,制定详细的治疗方案。
※针对海外客户的短期集中矫正计划,需要四颗及以上的全瓷冠治疗。
使用全瓷冠的四环素牙治疗费用
| 全瓷冠 | 155,000 日元 (含5 年质保) | 
| 基座或支撑牙调整费 | 15,000日元/颗 | 
| 假牙调整费 | 5,000 日元/颗  | 
※针对海外客户的短期集中矫正计划,需要四颗及以上的全瓷冠治疗。
前牙6颗的全瓷牙冠治疗价格示例
对微笑时可见的6颗上前牙进行全瓷冠矫正使其变白。
| 全瓷冠 | 155,000日元×6颗  | 
| 支撑牙调整费(基座等) | 15,000日元×6颗  | 
| 临时假牙 | 5,000日元×6颗  | 
总计:1050,000日元
前牙8颗的全瓷牙冠治疗价格示例
对微笑时可见的8颗上前牙进行全瓷冠矫正使其变白。
| 全瓷冠 | 155,000日元×8颗  | 
| 支撑牙调整费(基座等) | 15,000日元×8颗  | 
| 临时假牙 | 5,000日元×8颗  | 
总计: 1,400,000日元
前牙12颗的全瓷牙冠治疗价格示例
对微笑时可见的6颗上前牙和6颗下前牙进行全瓷冠矫正使其变白。
| 全瓷冠 | 155,000日元×12颗  | 
| 支撑牙调整费(基座等) | 15,000日元×12颗  | 
| 临时假牙 | 5,000日元×12颗  | 
总计;2,100,000日元
前牙16颗的全瓷牙冠治疗价格示例
对微笑时可见的8颗上前牙和8颗下前牙进行全瓷冠矫正使其变白。
| 全瓷冠 | 155,000日元×16颗  | 
| 支撑牙调整费(基座等) | 15,000日元×16颗  | 
| 临时假牙 | 5,000日元×16颗  | 
总计:2,800,000日元
支付方式灵活多样

我们不仅支持各种信用卡分期支付,也灵活提供符合患者需求的支付方式。
本院所有的美容牙科治疗都支持通过银联卡、支付宝,微信和pay pay进行支付。
请与我们联系,了解更多有关四环素牙

通过治疗四环素牙,不仅可以改善口部,多数情况下还可以使面部印象更加年轻。
在White White美容牙科,我们也为海外客户提供可以顺利完成所有治疗的日程计划。
您可以首先通过线上咨询,来详细了解四环素牙的修复治疗。
Copyright© whitewhite All Rights Reserved.