我們醫院採用了強度高、透明感佳且美觀性優越的貼面材料。因此,顏色和形狀可以根據需求精細調整,更精確地接近您理想的口腔外觀。
此外,對於輕度的牙縫問題,使用無需磨牙的貼面也可以改善。

通常的貼面治療是輕微磨除牙齒表面,然後黏貼上陶瓷薄片。
而無需磨牙貼面則是在完全不磨牙的情況下,也能改善牙齒的顏色和形狀。

在無需磨牙貼面治療中,無需磨除牙齒,也可以保留牙神經進行治療。
這能夠減少患者的負擔,對於想接受美學治療但對磨牙有顧慮的人來說也非常受歡迎。
貼面的顏色可以根據您的需求,從自然白到亮白自由選擇。
此外,對於透過美白治療難以改善的中度以上四環素牙,也推薦使用這種治療方法。
我們醫院採用了強度高、透明感佳且美觀性優越的貼面材料。因此,顏色和形狀可以根據需求精細調整,更精確地接近您理想的口腔外觀。
此外,對於輕度的牙縫問題,使用無需磨牙的貼面也可以改善。

【不削牙的貼面治療前】

【不削牙的貼面治療後】

【不削牙的貼面治療前】

【不削牙的貼面治療後】
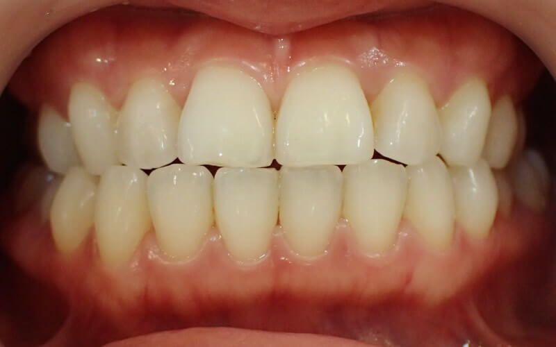
在上方的前牙6顆進行不削牙的貼面治療,改善了患者所關心的前牙縫隙及牙齒尖端部分的形狀。
牙齒的形狀和大小也調整得自然,讓笑容看起來更加和諧,達成了平衡美觀的口腔外觀。

【不削牙的貼面治療前】

【不削牙的貼面治療後】

【不削牙的貼面治療前】

【不削牙的貼面治療後】
在上方的前牙6顆進行不削牙的貼面治療,將前牙向前推,使下排牙齒突出的情況不那麼明顯。
顏色設定為較明亮的白色,讓笑容時的印象更加明亮。
在諮詢中,我們會聽取您的煩惱,並詳細討論適合的治療方法。之後,如果決定進行治療,我們會進行口腔檢查。

進行取模。在此過程中,您的牙齒完全不被磨除。

在確認完成的貼面後,我們會將其安裝上。
我們醫院對黏合劑也非常講究,提供多種顏色選擇。為了找到最適合的顏色,我們會進行試戴(試貼),然後決定使用的黏合劑。
無需磨牙貼面(全陶瓷材料):95,000日元

我們不僅支持各種信用卡分期支付,也靈活提供符合患者需求的支付方式。
本院所有的美容牙科治療都支持透過銀聯卡、支付寶、微信和pay pay進行支付。
Copyright© whitewhite All Rights Reserved.