Cosmetic Dentistry:Ceramic Crowns
At WhiteWhite, we set ceramic crowns on multiple front teeth to aesthetically improve the alignment and color of the teeth.
By applying ceramic crowns, we improve the alignment, size, shape, and color of the teeth.
Especially in cases of improving teeth alignment, one of the advantages of ceramic crowns for straightening teeth is that it can make improvements in a shorter period compared to wire treatments that move teeth gradually. There is also no need to wear orthodontic devices such as brackets or wires.
Ceramic crown treatment is a popular treatment method, especially for those who want to improve the alignment of their front teeth. It is chosen as a treatment for conditions such as overbite, crooked teeth, gummy smiles, and gapped teeth.
Additionally, this treatment method is popular among celebrities and models because it not only improves the alignment of teeth but also aesthetically enhances the color, size, and shape of the teeth.
Ceramic crowns for cosmetic dentistry(Ceramic Crown Teeth straightening) is recommended for those who

- Want to improve the alignment of their front teeth, such as overbites or gummy smiles
- Want to improve teeth alignment within a short period of time
- Want to replace silver teeth or discolored crown to make them white and natural-looking
- Want to eliminate the discoloration of gums caused by dental crowns
- Desire a celebrity-like ideal smile. (Hollywood smile)
- Want to improve the whiteness of their teeth
- Want to correct the twisting or tilting of their front teeth
- Want to correct the size or shape of their teeth
Advantages of ceramic crown for cosmetic dentistry(Ceramic Crown teeth straightening )
- Significantly shorter treatment period compared to other orthodontic treatments
- Ability to change the whiteness, size, and shape of teeth according to your preferences
- Can maintain the ideal teeth alignment and color without worry of regression
- Can achieve a finish that looks like your natural teeth
- Ability to choose your preferred shade of whiteness, from natural to bright white
We offer ceramic crown teeth straightening solutions adapted to your facial features after cosmetic surgery

We also propose ceramic crowns for cosmetic dentistry (ceramic crown teeth straightening ) that improve teeth alignment, whiteness, and shape to match your facial features following cosmetic surgery on the eyes, nose, chin, etc.
Many of our overseas customers come for ceramic crown treatment as the final touch to their cosmetic surgeries.
Guidance is available before and during cosmetic surgery as well.
Introductions to the case photos of ceramic crowns for cosmetic dentistry
1. Improvement in the Color of Upper and Lower Front Teeth through Ceramic Crowns

Before

After
This case photo shows an individual whose discolored crowns and tetracycline teeth were improved with ceramic crowns.
Teeth that were yellowed and stained, as well as tetracycline teeth that are difficult to whiten, were transformed into a natural and translucent white with ceramic crowns.
For treatments involving more than ten teeth, which are visible when smiling, patients can choose the level of whiteness they desire, ranging from a natural white to the bright white often seen in celebrities. With a wide variety of shades available, ceramic crowns are popular among those who want an ideal whiteness for their teeth.
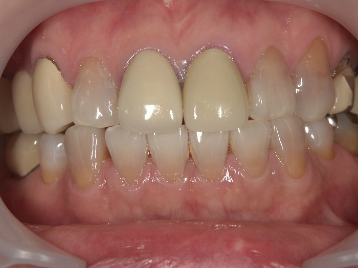
2. Case of Protruding Front Teeth Improved with Ceramic Crowns

Before

After
This case photo shows an individual whose protruding front teeth were corrected in just two weeks through ceramic crowns. Originally, the upper front teeth were angled outward, but with ceramic crowns, they were properly aligned. Unlike wire braces, which can take over a year, ceramic crowns can improve the alignment of teeth in as short as two weeks.
This treatment is especially popular among international visitors looking for a quick solution to improve their teeth alignment.
3. Improvement of Black Margins with Ceramic crowns

Before

After
This case photo features an individual whose black margins around crowns were improved through ceramic crowns.
Black margins can occur when the metal foundation inside a crown becomes visible, giving the gums a dark appearance even if they are not actually discolored. By using ceramic crowns, which involve no metal for the base or covering, the issue of black margins was resolved.
The front teeth achieved a natural whiteness, contributing to a more youthful appearance overall.
Features of ceramic crown teeth straightening at WhiteWhite
Commitment to facial balance and ideal teeth alignment (Ideal Dental-Facial Balance)

By perfectly aligning the facial midline with the teeth midline, the balance of the face when smiling or talking is beautifully arranged. Our clinic focuses on aligning the dental-facial midline properly.
Furthermore, by shaping the overall teeth alignment into an arch form, we achieve the ideal smile line. We also pursue the golden ratio in teeth alignment, adjusting the width of the teeth based on the facial balance.
Commitment to beauty

We are committed to natural ceramic designs that resemble natural teeth.
We will precisely replicate the characteristics of natural teeth into the ceramic crown. Such as the delicate color gradient from the root to the tip, as well as the translucency at the edges of the teeth.
Additionally, we are focusing on the technique of starting the ceramic crowns from 0.5mm inside the gum line to achieve a more natural appearance.
With over 25 years of specialization in cosmetic dentistry, our high level of technical skill will guide you to your perfectly ideal smile.
Commitment to color
We will craft the ceramic crowns in a color that matches the color of the patient’s natural teeth, ensuring a natural appearance.
Together with the patient, we will meticulously choose the color of the ceramic based on their preferences and the overall balance of their mouth area.
Commitment to using metal-free materials

【Metal Foundation and Metal-free Foundation】
At WhiteWhite, we do not use any metal, not just in the crowns but also in the internal foundations.
Using fillings, crowns, or bases that contain metal can lead to the exposure of metal over time or cause the gum area to appear black.
By not using any metal in the materials for ceramic treatments, we can maintain a healthy and beautiful smile for a long time. This approach also reduces the risk of metal allergies and is a popular choice for many people seeking retreatment for silver or metal crowns.
Commitment to teeth alignment considering the E-line

The focus on the E-line in ceramic crown for cosmetic dentistry.
The “E-line” refers to the line connecting the tip of the nose to the chin in profile(face seen from the side). Having the mouth set back from this E-line is essential for a beautiful profile.
Even in the temporary teeth stage, which is an intermediate stage of ceramic treatment(ceramic crown teeth straightening), we carefully check the E-line.
We can help you achieve not only the beauty from the front but also the balance of beauty in the profile.
Commitment to achieving ideal smiles(mouth area)
We carefully listen to our patients’ ideal vision for their smile and dedicate ourselves to achieve a result that meets their desires..
It is also possible to get closer to your ideal smile by sending us photos of celebrities or influencers.
After hearing about the type of smile you desire, we precisely adjust the alignment, shape, and size of the teeth.
Intensive Short-Term Treatment Through Online Consultation

We offer short-term treatments for international visitors, typically completing treatments within about two weeks.
We use online systems like Zoom to plan the treatment schedule, ensuring smooth completion upon your arrival.
We will discuss the specific number of visits, schedule, and provide an estimate for the treatment plan.
Short-term intensive plans for international patients are accepted for ceramic treatments involving four or more teeth.
Consultation for Gummy Smile Correction Treatment
Please send us an inquiry form to discuss your treatment options.
We will follow up with an online consultation schedule via Zoom.
We look forward to consulting with you about detailed gummy smile treatments.
*The Short-term intensive plans for overseas customers requires a minimum of 4 ceramic treatments.
We also recommend multiple teeth ceramic crown treatment

By performing ceramic crown teeth straightening on multiple teeth, for example more than 12 front teeth(upper and lower), it is possible to make significant improvements in teeth alignment or to match the overall whiteness of your smile more closely to your desire.
This is also recommended for those who wish to achieve a whiteness beyond traditional whitening or desire a perfect smile like that of actors and models.
The Process of ceramic crown for cosmetic dentistry
First, a free consultation
We will have a detailed consultation online using Zoom.
We will discuss your treatment preferences, costs, and travel schedule to Japan, and talk about a specific treatment schedule that aligns with your visit to Japan.
Impressions and Photography

Once the decision to proceed with treatment is made, we take impressions of your mouth and photographs to accurately grasp the condition of your mouth.
Nerve Treatment

As preparation for the straightening process, we perform nerve treatment inside the tooth as needed.
Setting the Foundation(Abutment) and Adjusting Teeth Alignment
To achieve the ideal teeth alignment, we first set a foundation at the root of the teeth. A temporary tooth is then placed on this foundation.
Adjustment of the Temporary Tooth

【Temporary Teeth State】
We further refine the adjustments of the temporary tooth.
For example, if you wish to have your tooth slightly more inward or desire a more square-like shape, we will listen to your preferences and make adjustments accordingly.
By simulating and adjusting with the temporary tooth, we can create ceramics that meet your expectations.
Setting the Ceramic crown and Completion

After checking at the temporary tooth stage, we will create the final ceramic.
After Fitting the ceramic, and adjusting the bite, the ceramic crown teeth straightening treatment is completed.
Common Price Examples for Ceramic crown
*The Short-term intensive plans for overseas customers requires a minimum of 4 ceramic treatments.
Four Front Teeth Ceramic crown
| All-ceramic Crowns (4 teeth) | 155,000 JPY × 4 |
| Abutment Tooth Adjustment (4 teeth) | 15,000 JPY × 4 |
| Temporary Crown Adjustment(4 teeth) | 5,000 JPY × 4 |
Total : 700,000JPY
Six Front Teeth Ceramic crown
| All-ceramic Crowns (6 teeth) | 155,000 JPY × 6 |
| Abutment Tooth Adjustment (6 teeth) | 15,000 JPY × 6 |
| Temporary Crown Adjustment(6 teeth) | 5,000 JPY × 6 |
Total: 1,050,000 JPY
Eight Front Teeth Ceramic crown
| All-ceramic Crowns (8 teeth) | 155,000 JPY × 8 |
| Abutment Tooth Adjustment (8 teeth) | 15,000 JPY × 8 |
| Temporary Crown Adjustment(8 teeth) | 5,000 JPY × 8 |
Total :1,400,000 JPY
Intravenous Sedation
For those who are sensitive to pain or have a strong fear of dental procedures, intravenous sedation is available as an optional addition. You will feel completely relaxed and at ease during your treatment.
| Intravenous Sedation | 88,000 JPY |
Flexible payment methods

We accept various kinds of credit cards as well as installments.
Flexible payment methods are offered to meet our customers’ preferences.
Furthermore, all of our aesthetic treatments can be paid by PayPay, Union Pay/Union Card,Alipay and WeChat Pay.
Feel Free To Consult Us About Ceramic Crown Teeth Straightening

First, please send us an inquiry form to discuss the treatment.
We will later consult you via email to schedule an online consultation on Zoom.
We look forward to your consultation regarding detailed ceramic crown teeth straightening .
For sending the inquiry form, please click here.
Copyright© whitewhite All Rights Reserved.